Irish lichens
BLS map
Pertusaria pertusa Order: Pertusariales       Family: Pertusariaceae

Species: Pertusaria pertusa

Growth type crustose.
Photos: Gougane Barra, Cork, SW Ireland.

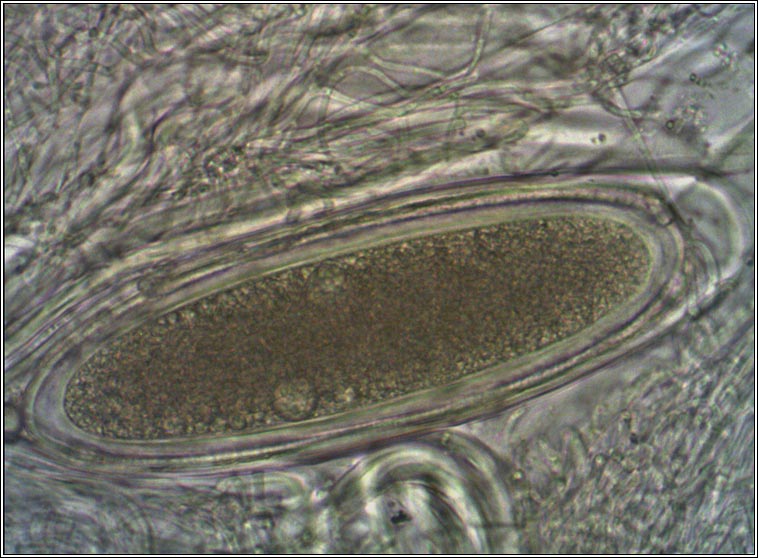
Thick, slightly cracked greenish-grey thallus, often with conspicuous zoned margin. 3-7 apothecia produced from each wart-like protuberance. Asci usually 2-spored, spores (120-)145-230(-330) x 40-90 µm. Spore wall 7-15 µm thick. Microscope photos below.
K+ yellow, C-, KC+ yellow or yellow-orange, P+ deep orange, UV+/- pale orange.

Common on tree bark, occasionally found on rocks. It is often associated with Pertusaria hymenea. (K-, C+ yellow)

Similar: P. leioplaca. K+ yellow, C- but asci (3-)4(-6) spored








Microscope photographs



Pertusaria pertusa . August 2009, February 2012

Please Contact me if you find errors. All images used are copyright.