Irish lichens
BLS map
Physcia aipolia Order: Lecanorales       Family: Physciaceae

Species: Physcia aipolia

Growth type foliose.
Photos: On deciduous twigs. Ballingeary, Cork, SW Ireland.

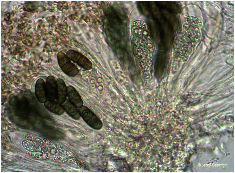
Whitish or pale bluish-grey thallus to 6cm diameter. Very distinct pale pseudocyphellae on lobes. Dark rhizines on under-surface. Abundant dark-brown or black, +/- pruinose apothecia. Asci are 8-spored, spores 1-septate, brown, thick-walled. 18-24 x 7-10 µm. Microscope photographs below.

Occurs on well-lit, nutrient-rich trees, often in the nodes of twigs and branches. Cortex and medulla: K+ yellow
Occasionally host to the lichenicolous Nectriopsis physciicola

Physcia stellaris has lobes without pseudocyphellae, medulla K-


Physcia aipolia

Physcia aipolia

Microscope photographs
Physcia aipolia, microscope image

Physcia aipolia, microscope image

Physcia aipolia, spores
Physcia aipolia

Please Contact me if you find errors. All images used are copyright.