Irish lichens Lichenicolous fungi
Arthonia phaeographidicola
Family: Arthoniaceae

Species: Arthonia 'phaeographidicola'

Growth type lichenicolous, on Phaeographis smithii
Photos: Commeen West, Co. Cork, SW Ireland.

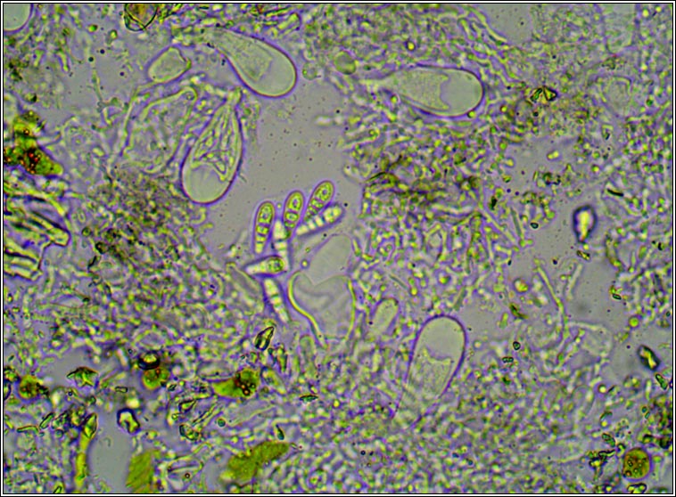
On Phaeographis smithii, the dark brown apothecia irregularly rounded to sub-stellate. The spores in this specimen were 3-septate, 13-17 x 5-6 µm, upper cell largest. Micrographs below

First found in Cornwall, SW UK by Neil Sanderson:
A Reichlingia clade Arthonia similar to Arthonia graphidicola but parasitic on Phaeographis smithii and Phaeographis dendritica mainly on Oak twigs but also on Hazel and Holly stems. It is undescribed but has the herbarium name Arthonia 'phaeographidicola'.

Similar: Arthonia graphidicola occurs on Graphis scripta s.lat and on Graphis inustuloides (Graphina anguina)


Arthonia phaeographidicola

Arthonia phaeographidicola

Micrographs
Arthonia phaeographidicola

Arthonia phaeographidicola

Arthonia phaeographidicola
Arthonia "phaeographidicola". June 2025

All images used are copyright. Please contact me if you find errors.