Irish lichens
BLS map
Alyxoria ochrocheila, Opegrapha ochrocheila
Family: Lecanographaceae

Species: Alyxoria ochrocheila (Opegrapha ochrocheila)

Growth type crustose. Photos: Kilcolman, Co. Limerick, Ireland

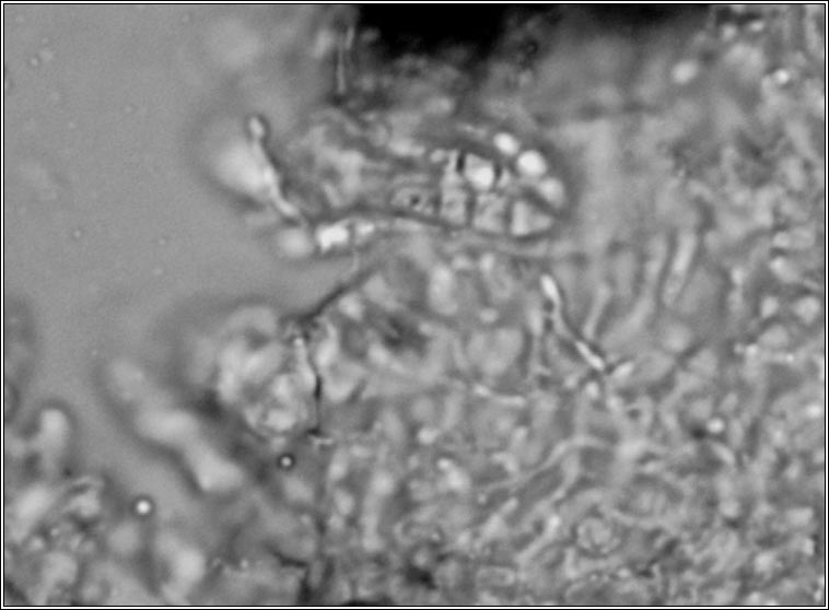
Thin or immersed whitish-grey thallus, sometimes tinged brownish or olive-green. Lirellae with open discs, the margins and sometimes also the discs usually with reddish-orange pruina. Spores 3-septate, (12)14-16(-22) × 3-4.5(5) µm, perispore absent. Second cell is broadest but similar length to the other cells. Micrographs below. Orange pruina K+ red-purple. Exciple K+ olive-green, brown to reddish in section. N.B. Forms with non-pruinose apothecia occur

Can be locally frequent on dry, shaded deciduous bark in mature woodland, particularly on Oak. Rare on sheltered siliceous rocks.

Similar: Alyxoria culmigena (Opegrapha herbarum). The second cell is usually longer and broader than the other cells


Alyxoria ochrocheila, Opegrapha ochrocheila

Alyxoria ochrocheila, Opegrapha ochrocheila

Micrographs
Alyxoria ochrocheila, Opegrapha ochrocheila

Alyxoria ochrocheila, Opegrapha ochrocheila
Alyxoria ochrocheila (Opegrapha ochrocheila). August 2024

All images used are copyright. Please contact me if you find errors.