Irish lichens Lichenicolous fungi
BLS map
Lichenoconium lecanorae
Family: Abrothallaceae

Species: Lichenoconium lecanorae

Lichenicolous fungus. Photographs on Lecanora chlarotera and Lecidella elaeochroma. Dromore, Co. Cork, SW Ireland.

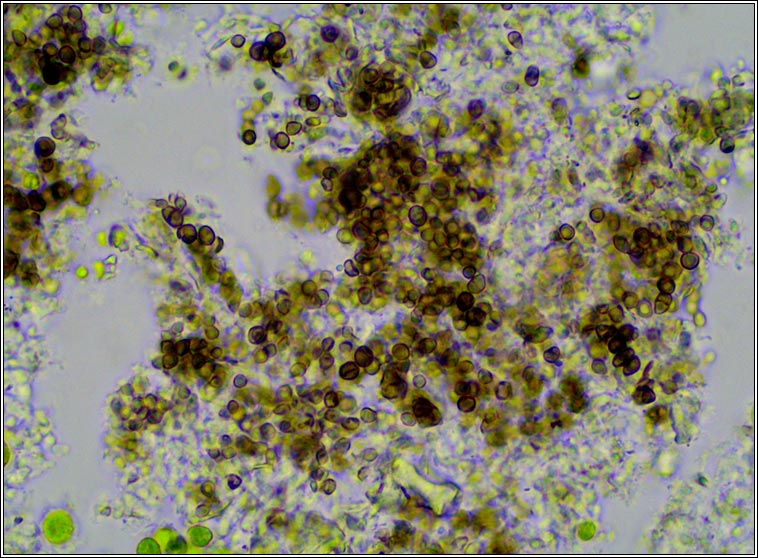
The scattered or clustered small black pycnidia are subglobose to broadly ovoid, immersed or erumpent. Brown to dark-brown conidia are (2.5-)3-4.5(-5.5) µm diameter, subglobose to broadly ellipsoidal, +/- truncate at base and slightly verruculose. Micrographs below

Most frequent on Lecanora species but commensalistic to parasitic on the thalli and apothecia of a wide range of foliose and crustose lichens, mainly from the Lecanoraceae and Parmeliaceae. Often found with Lichenoconium erodens

Similar: Lichenoconium usneae, conidia not truncate at base. Often with other lichenicolous fungi on foliose and fruticose lichens


Lichenoconium lecanorae

Lichenoconium lecanorae

Micrographs
Lichenoconium lecanorae

Lichenoconium lecanorae
Lichenoconium lecanorae. August 2024

All images used are copyright. Please contact me if you find errors.