Irish lichens Lichenicolous fungi
Lichenodiplis fallaciosa
Family: Incertae sedis

Species: Lichenodiplis fallaciosa

Lichenicolous fungus on Orcularia insperata (Rinodina biloculata)
Photos: Dromore, Co. Cork, SW Ireland.

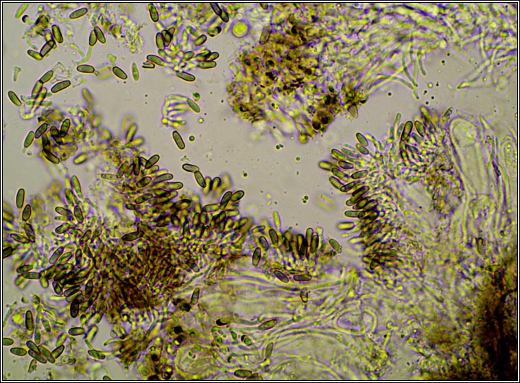
The black, +/- elongated pycnidia are embedded in the hymenium of the host apothecia, with only the ostiole +/- visible at the surface. Conidia are simple, oval to oblong, truncated at the base, light brown to greenish brown, 6-10 x 3-4 µm. Micrographs below.

Only occurs in the apothecia of Orcularia insperata (Rinodina biloculata) but very rarely recorded and easy to overlook

N.B. British and Irish records on other hosts are probably of Lichenoconium lichenicola or other species


Lichenodiplis fallaciosa

Lichenodiplis fallaciosa

Micrographs
Lichenodiplis fallaciosa

Lichenodiplis fallaciosa

Lichenodiplis fallaciosa
Lichenodiplis fallaciosa. August 2024

All images used are copyright. Please contact me if you find errors.