Irish lichens Lichenicolous fungi
BLS map
Opegrapha pertusariicola
Family: Opegraphaceae

Species: Opegrapha pertusariicola

Lichenicolous fungus, photographs on Pertusaria hymenea
Photos: Killarney NP, Co. Kerry, SW Ireland.

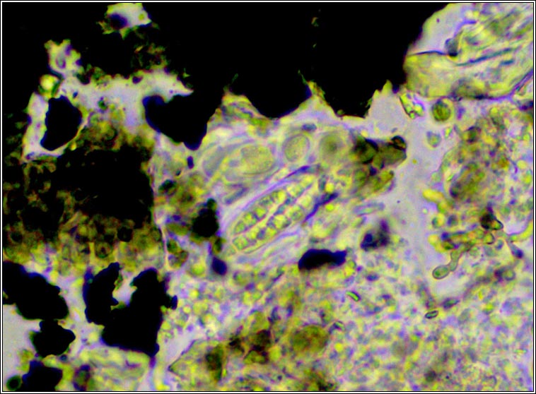
Thallus absent but sometimes necrotic fawn-coloured patches visible on host thallus. Apothecia straight or slightly curved with +/- slit-like discs and a roughened margin. Exciple K+ green-black, epithecium brown. Asci 4-spored, spores (5-)6 septate, the median cell usually enlarged, 21-28 x 4.5-6 µm. Micrograph below.

Usually occurs on Pertusaria leioplaca on Corylus but ocasionally also reported on P. hymenea and other corticolous Pertusaria's

Similar: Opegrapha anomea occurs on Lepra species (Ochrolechiaceae), spores 17-26 × 6.5-9 µm, 3-septate


Opegrapha pertusariicola

Opegrapha pertusariicola

Micrograph
Opegrapha pertusariicola
Opegrapha pertusariicola. August 2024

All images used are copyright. Please contact me if you find errors.