Irish lichens Lichenicolous fungi
BLS map
Tremella phaeographidis
Family: Tremellaceae

Species: Tremella phaeographidis

Lichenicolous fungus, photographs on Phaeographis smithii
Photos: Dromore, Co. Cork, SW Ireland.

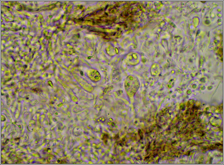
A basidiomycete forming pale to dark brown (often reddish brown), flattened or slightly convex and waxy-gelatinous basidiomata (fruiting bodies) on host thallus. Mature basidia 16-24 x 8-12 µm with one transverse or oblique (rarely transverse) septum, and the lower cell with an attenuated, often stalk-like base that is longer than the upper cell, 16-24 x 8-12 µm. The basidiospores are ellipsoid to subspherical, 5.5-7.5 x 5-6 µm. Micrographs below.

Lichenicolous on the thallii of Phaeographis species

Similar: Tremella occultixanthoriae occurs on Xanthoria parietina. Tremella pertusariae forms dark galls on Pertusaria hymenea


Tremella phaeographidis

Tremella phaeographidis

Micrographs
Tremella phaeographidis

Tremella phaeographidis
Tremella phaeographidis. August 2024

All images used are copyright. Please contact me if you find errors.