Irish lichens Lichenicolous fungi
BLS map
Telogalla olivieri
Family: Verrucariaceae

Species: Telogalla olivieri

Lichenicolous fungus on Xanthoria parietina
Photos: Ahakista, Co. Cork and Kilcolman, Co. Limerick, Ireland

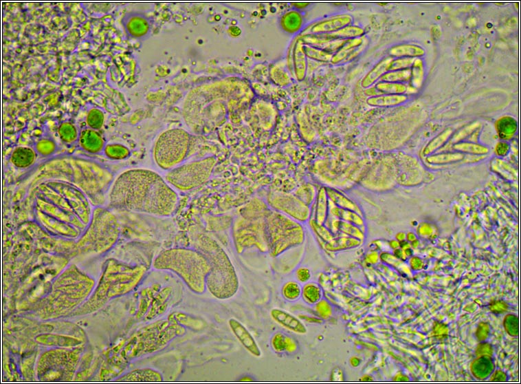
Yellow or whitish-yellow galls form on the host thallus and become domed and irregular in shape as they develop. The immersed perithecia are visible as dark spots on the surface, brown or dark brown round the ostioles and internally with pale walls. The asci are 8-spored, the spores 15-20 x 4-7 µm, simple, hyaline and usually with 2-3 guttules (can appear septate in K). Micrographs below

Only recorded on Xanthoria parietina and X. calcicola


Telogalla olivieri

Telogalla olivieri

Telogalla olivieri

Micrographs
Telogalla olivieri

Telogalla olivieri

Telogalla olivieri
Telogalla olivieri. August 2024

All images used are copyright. Please contact me if you find errors.