Irish lichens
BLS map
Athallia cerinelloides, Caloplaca cerinelloides
Family: Teloschistaceae

Species: Athallia cerinelloides (Caloplaca cerinelloides)

Growth type crustose
Photos: On Ash (Fraxinus), Caha Pass, Co. Cork, SW Ireland.

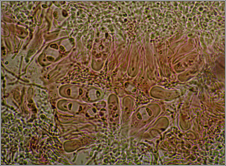
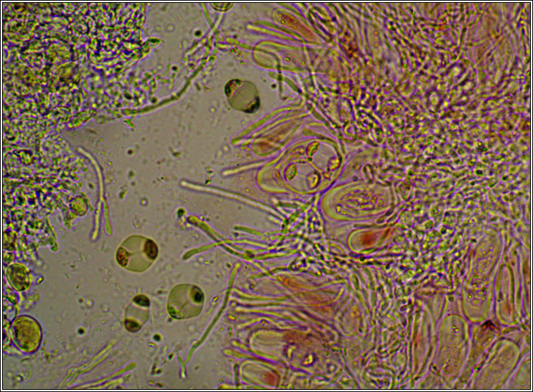
The thallus is inconspicuous or absent with very small apothecia usually in small, crowded groups, the discs yellow or orange-yellow. Asci are 8-spored, the spores (8·5-)10-13(-15) x (5-)6-8(-9) µm. Septum (2·5-)3.5-5(-6) µm wide. Micrographs below. Thallus K-, apothecia K+ red

Apparently very rare in Ireland but possibly under-recorded due to confusion with Caloplaca cerinella. Occurs on dusty, base-rich twigs of Buddleia, Fraxinus, Juglans, Populus tremula and Sambucus

Similar: Caloplaca cerinella has (8-)12-16 spored asci


Athallia cerinelloides, Caloplaca cerinelloides

Athallia cerinelloides, Caloplaca cerinelloides

Micrographs
Athallia cerinelloides, Caloplaca cerinelloides

Athallia cerinelloides, Caloplaca cerinelloides
Athallia cerinelloides, Caloplaca cerinelloides. January 2012

All images used are copyright. Please contact me if you find errors.