Irish lichens
BLS map
Graphis elegans Order: Ostropales       Family: Graphidaceae

Species: Graphis elegans

Growth type crustose, graphid.
Photos: Ballingeary, Cork, SW Ireland.

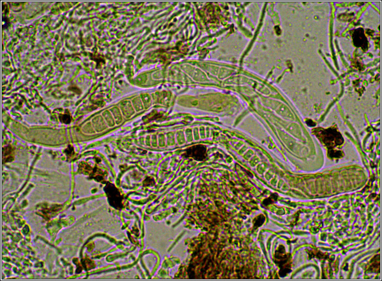
Smooth, slightly shiny or wrinkled greyish thallus, apothecia with raised carbonaceous margins +/- meeting in centre. Apothecia margins have 2-7 longitudinal furrows but these are not always clearly visible. Discs are not pruinose. The asci are 8-spored, multi-septate spores (7-12 -septate), 30-50 x 6-12 µm. Mature spores are colourless but may become brown when over-mature.
Micro photos below. Host to Melaspilea diplasiospora.

Widespread in Ireland on shady smooth-barked trees and twigs.
K+ yellow turning slowly blood-red (patchy), P+ orange

Similar: Graphis scripta.


Graphis elegans

Graphis elegans

Microscope photographs
Graphis elegans, microscope photo

Graphis elegans, microscope photo
Graphis elegans. January 2010

Please Contact me if you find errors. All images used are copyright.