Irish lichens: home Algae and Cyanobacteria


Kingdom: Bacteria     Phyllum: Cyanobacteria    
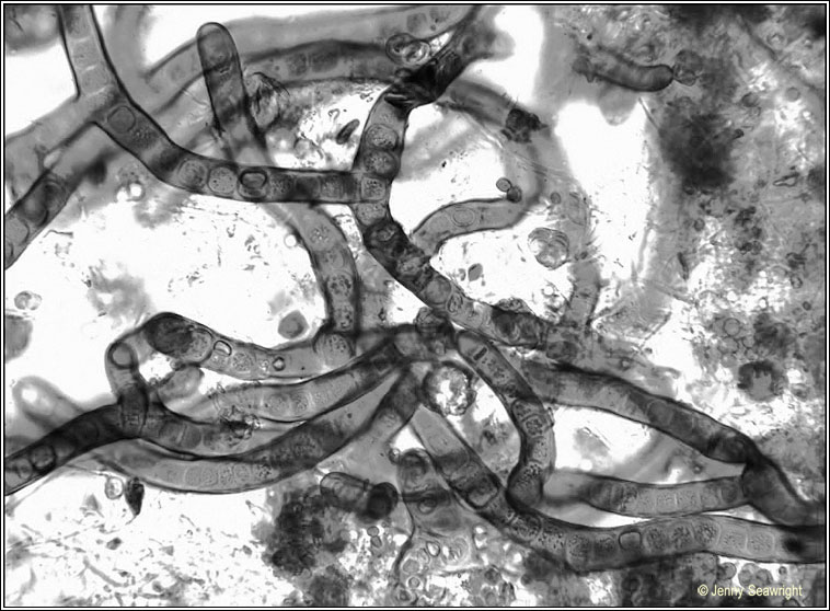
Stigonema sp.
Cyanobacteria

A crusty or woolly thallus comprised of coiled, branched filaments with roundly irregular or barrel-shaped cells. See microscope photographs below.
ID: Brian Coppins
Photographs:
December 2009
On moss and stone
Ballingeary
Co. Cork,
SW Ireland.

Stigonema


Stigonema

Microscope photographs
Stigonema


Stigonema
Immediately above: Stigonema x 400

Please contact me if you find errors. All images used are copyright.