Irish lichens: home Fungi photographs

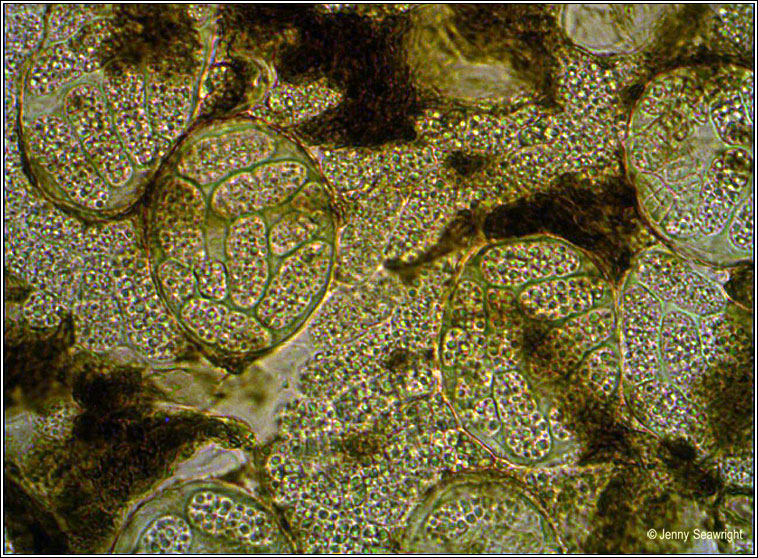
Myriangium duriaei
Phyllum: Ascomycota     Order: Myriangiales     Family: Myriangiaceae

Myriangium duriaei

Microscope photographs showing asci and spores below.

Photographs:
April 2012

ID: John Douglass
On Ash trunk
Co. Cork,
SW Ireland.

Myriangium duriaei


Myriangium duriaei


Myriangium duriaei
Myriangium duriaei. April 2012

All images used are copyright. Please contact me if you find errors.